Ne manquez pas ce workshop organisé avec le soutien de notre partenaire :

Ce workshop est ouvert à tous : étudiants, assistantes dentaires, et praticiens diplômés. Les places étant très limitées, nous vous invitons à réserver la vôtre sans attendre !
Comment s'inscrire ? Lors de votre inscription au congrès, cochez simplement la case correspondante à ce workshop.
Vous êtes déjà inscrit(e) au Congrès ? Contactez-nous par email pour ajouter ce workshop à votre inscription !

En résumé :
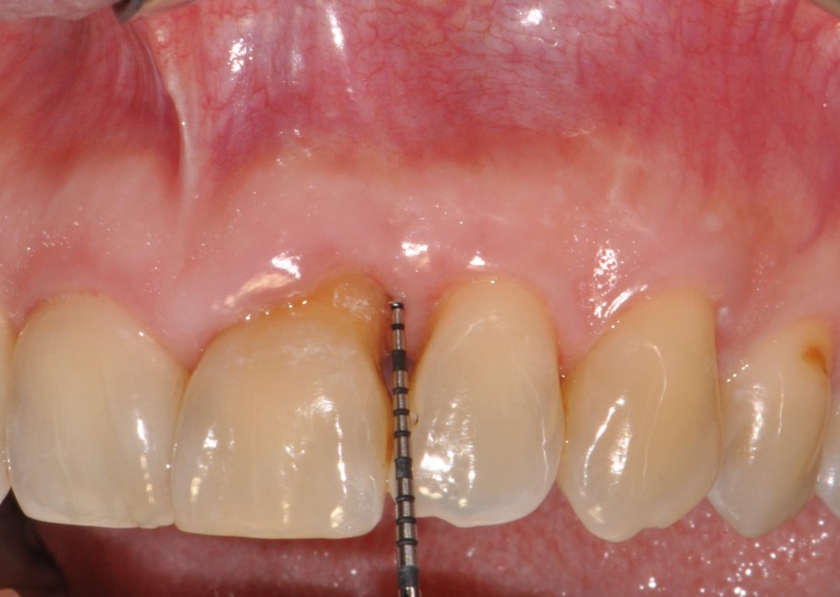
Periodontal regenerative surgery has significantly improved the prognosis of teeth once considered hopeless. While infrabony defects remain the most predictable indication, growing evidence supports regenerative approaches in more complex defect situations.
This hands-on workshop will focus on clinical decision-making and surgical principles in periodontal regeneration, with particular attention to defect morphology, flap design, papilla preservation techniques, wound stability, and biomaterial selection. Participants will gain practical insights to optimize regenerative outcomes and long-term periodontal stability in daily practice.




En détail :
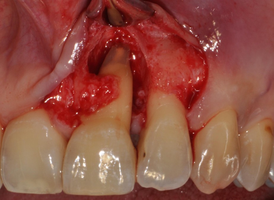
Nowadays, periodontal regenerative surgery has clearly demonstrated its ability to significantly improve the prognosis of teeth that were previously considered hopeless, particularly in the management of infrabony defects. Growing evidence further indicates that regenerative surgical approaches provide superior clinical outcomes compared with open flap debridement alone, not only in infrabony defects, but also in suprabony defects and furcation involvements.
This workshop will explore the biological rationale, clinical decision-making, and surgical techniques involved in periodontal regeneration. While the primary focus will be on the regenerative management of infrabony defects, the discussion will be extended to more complex defect configurations. Particular emphasis will be placed on defect morphology, as well as on the selection of biomaterials and surgical approaches that critically influence clinical outcomes.
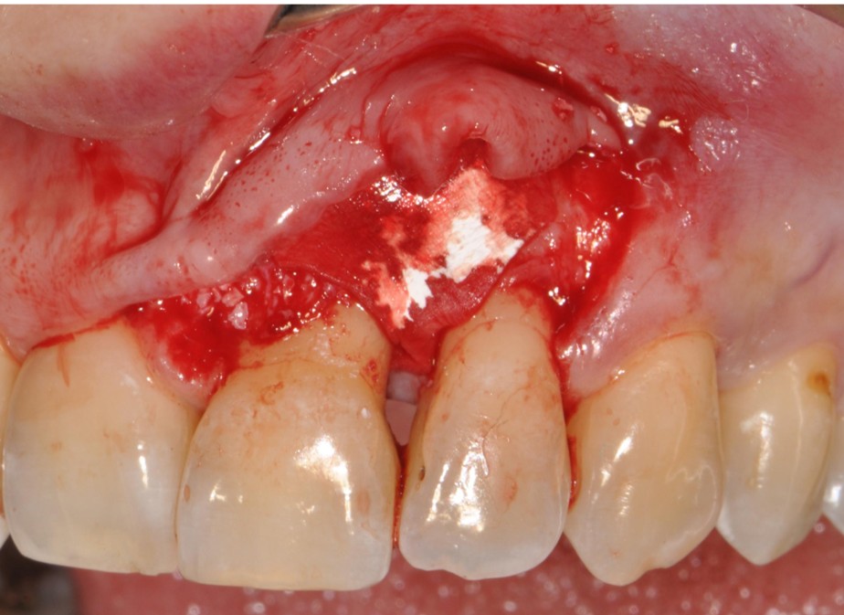
Special attention will be given to incision design and flap management, with a strong focus on papilla preservation techniques as a key element in achieving wound stability and primary closure. Through a combination of evidence-based lectures and detailed clinical case discussions, participants will gain a comprehensive understanding of how to optimize regenerative outcomes in daily clinical practice.
Key topics will include flap design, papilla preservation strategies, wound stability, soft tissue management, post-operative care, as well as the limitations and challenges of periodontal regeneration. Even in complex periodontal defects, a sound biological and clinical rationale for reconstruction and regeneration can often be identified.
The workshop will therefore highlight the importance of minimally invasive surgical concepts and appropriate biomaterial selection as critical factors in the successful management of advanced and complex periodontal defects. Ultimately, the aim of this workshop is to equip clinicians with practical tools and a structured clinical framework to apply regenerative concepts in a predictable manner, thereby maximizing long-term tooth retention and periodontal stability.